Thai mấy tuần có túi thai?
Thông thường túi thai có thể nhìn thấy trên siêu âm từ khoảng tuần thứ 4–5 của thai kỳ khi siêu âm đầu dò âm đạo. Nếu siêu âm qua bụng, túi thai thường thấy rõ hơn từ tuần thứ 5–6. Tuy nhiên thời điểm này có thể thay đổi tùy ngày rụng trứng, chu kỳ kinh và sự phát triển của phôi.
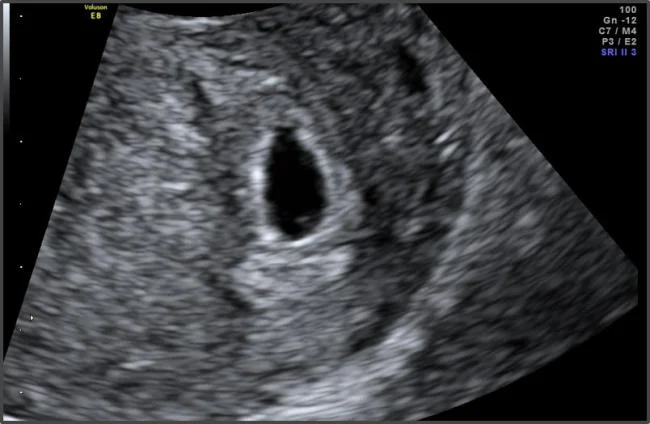
Túi thai là gì?
Túi thai (gestational sac) là cấu trúc đầu tiên của thai kỳ có thể quan sát được trên siêu âm. Nó là một túi nhỏ chứa dịch nằm trong tử cung và bao bọc phôi thai đang phát triển.
Bên trong túi thai sau đó sẽ xuất hiện:
- Túi noãn hoàng (yolk sac) – cung cấp dinh dưỡng cho phôi giai đoạn đầu
- Phôi thai (fetal pole)
- Tim thai
Thông thường trình tự phát triển sẽ là:
- Xuất hiện túi thai
- Xuất hiện túi noãn hoàng
- Xuất hiện phôi thai
- Xuất hiện tim thai
💡 Vì vậy khi mới siêu âm thấy túi thai chưa thấy tim thai là điều hoàn toàn bình thường.
Thai mấy tuần thì có túi thai trên siêu âm?
Thời điểm thấy túi thai phụ thuộc vào loại siêu âm và nồng độ hCG trong máu.
Bảng thời gian xuất hiện túi thai theo tuần
| Tuần thai | Hình ảnh siêu âm thường thấy |
|---|---|
| Tuần 3 | Phôi mới làm tổ, chưa thấy gì trên siêu âm |
| Tuần 4 | Có thể thấy túi thai rất nhỏ (siêu âm đầu dò) |
| Tuần 5 | Túi thai rõ hơn, có thể thấy túi noãn hoàng |
| Tuần 6 | Thấy phôi thai và có thể nghe tim thai |
| Tuần 7 | Tim thai rõ ràng, phôi phát triển rõ |
Theo các tài liệu y khoa, khi nồng độ hCG đạt khoảng 1500–2000 mIU/mL, túi thai thường có thể nhìn thấy trên siêu âm đầu dò.

Vì sao siêu âm chưa thấy túi thai?
Rất nhiều mẹ bầu lo lắng khi thử thai 2 vạch nhưng siêu âm chưa thấy túi thai. Thực tế có nhiều nguyên nhân hoàn toàn bình thường.
1. Thai còn quá sớm
Đây là nguyên nhân phổ biến nhất.
Nếu mẹ:
- Chậm kinh vài ngày
- Chu kỳ kinh không đều
- Rụng trứng muộn
Thì thai có thể mới chỉ 3–4 tuần, nên siêu âm chưa thấy túi thai.
2. Tính sai tuổi thai
Tuổi thai thường được tính từ ngày đầu kỳ kinh cuối.
Nhưng nếu:
- Chu kỳ dài
- Rụng trứng muộn
- Có thai muộn trong chu kỳ
Thì tuổi thai thực tế nhỏ hơn so với tính toán.
3. Thai làm tổ muộn
Sau khi thụ tinh, phôi sẽ di chuyển vào tử cung và làm tổ sau khoảng 6–10 ngày.
Nếu làm tổ muộn:
→ túi thai xuất hiện chậm hơn vài ngày.
4. Có thể là thai ngoài tử cung
Trong một số trường hợp hiếm:
- hCG tăng
- Test thai 2 vạch
- Siêu âm không thấy túi thai trong tử cung
Bác sĩ có thể nghi ngờ thai ngoài tử cung.
⚠️ Tuy nhiên cần theo dõi thêm và xét nghiệm hCG nhiều lần mới kết luận được.
Dấu hiệu cho thấy túi thai đang hình thành
Ở giai đoạn rất sớm, mẹ bầu thường chưa có nhiều dấu hiệu rõ ràng. Nhưng một số biểu hiện có thể xuất hiện:
🔹 Trễ kinh
🔹 Que thử thai 2 vạch
🔹 Căng tức ngực
🔹 Mệt mỏi
🔹 Buồn ngủ nhiều
🔹 Buồn nôn nhẹ
Những dấu hiệu này xuất hiện khi hormone hCG bắt đầu tăng cao.

Khi nào việc chưa thấy túi thai là bình thường?
Trong nhiều trường hợp, chưa thấy túi thai không phải vấn đề đáng lo.
Các tình huống bình thường gồm:
✅ Chậm kinh dưới 1 tuần
✅ hCG còn thấp
✅ Chu kỳ kinh dài hoặc không đều
✅ Mới thử thai vài ngày
Thông thường bác sĩ sẽ hẹn:
Siêu âm lại sau 5–7 ngày
Lúc này túi thai thường đã thấy rõ.
Khi nào cần đi khám ngay?
Dù phần lớn trường hợp là bình thường, mẹ bầu nên đi khám sớm nếu có các dấu hiệu sau:
⚠️ Đau bụng dữ dội một bên
⚠️ Ra máu âm đạo nhiều
⚠️ Choáng váng, chóng mặt
⚠️ hCG tăng chậm bất thường
⚠️ Siêu âm nhiều lần vẫn chưa thấy túi thai
Đây có thể là dấu hiệu của:
- Thai ngoài tử cung
- Thai sinh hóa
- Thai phát triển chậm
Theo khuyến cáo của WHO, việc theo dõi thai kỳ sớm giúp phát hiện nguy cơ và bảo vệ sức khỏe mẹ tốt hơn.
Bác sĩ sẽ kiểm tra túi thai như thế nào?
Để xác định thai đã vào tử cung hay chưa, bác sĩ thường thực hiện các bước sau.
Bước 1: Hỏi ngày kinh cuối
Điều này giúp ước tính tuổi thai ban đầu.
Bước 2: Xét nghiệm hCG
Bác sĩ có thể cho làm xét nghiệm máu.
Nguyên tắc:
- hCG tăng gấp đôi sau 48–72 giờ trong thai kỳ khỏe mạnh.
Bước 3: Siêu âm đầu dò
Siêu âm đầu dò giúp:
- phát hiện túi thai sớm hơn
- nhìn rõ cấu trúc thai
Bước 4: Hẹn tái khám
Nếu chưa thấy túi thai:
→ Bác sĩ thường hẹn siêu âm lại sau 1 tuần.
Đây là cách theo dõi an toàn nhất.

Sai lầm phổ biến khi chờ túi thai
Rất nhiều mẹ bầu lần đầu mang thai thường mắc những sai lầm sau.
1. Siêu âm quá sớm nhiều lần
Việc siêu âm quá sớm thường chỉ khiến mẹ thêm lo lắng vì chưa thấy gì.
2. Tự suy đoán thai ngoài tử cung
Chỉ dựa vào:
- chưa thấy túi thai
- test 2 vạch
không thể kết luận thai ngoài tử cung.
3. Quá lo lắng khi chưa có tim thai
Thông thường:
- túi thai: tuần 4–5
- tim thai: tuần 6–7
Nên chưa có tim thai ở tuần 5 là bình thường.
Checklist theo dõi túi thai cho mẹ bầu
Mẹ có thể lưu checklist này để theo dõi thai sớm.
✅ Thử thai khi chậm kinh 5–7 ngày
✅ Đi siêu âm lần đầu khoảng tuần 5–6
✅ Nếu chưa thấy túi thai → tái khám sau 1 tuần
✅ Theo dõi dấu hiệu bất thường
✅ Nghỉ ngơi và ăn uống đầy đủ
💡 Điều quan trọng nhất là giữ tâm lý thoải mái.
Những lưu ý quan trọng mẹ bầu nên biết
🔹 Không phải thai nào cũng phát triển giống nhau
🔹 Chu kỳ kinh ảnh hưởng lớn đến tuổi thai
🔹 Siêu âm đầu dò giúp phát hiện thai sớm hơn
🔹 Tim thai thường xuất hiện sau túi thai khoảng 1–2 tuần
Một mẹ trong cộng đồng Baubixinh từng chia sẻ:
“Lần đầu đi siêu âm em cũng chưa thấy túi thai nên lo lắm. Bác sĩ dặn cứ bình tĩnh về nghỉ ngơi, 1 tuần sau quay lại thì đã thấy túi thai và túi noãn hoàng rồi.”
Thực tế, điều này xảy ra với rất nhiều mẹ bầu.
FAQ – Câu hỏi mẹ bầu thường thắc mắc
Thai 4 tuần đã có túi thai chưa?
Có thể có. Nhưng nhiều trường hợp tuần 4 vẫn chưa thấy túi thai vì thai còn quá nhỏ.
Thai 5 tuần chưa có túi thai có sao không?
Phần lớn là không sao nếu hCG tăng bình thường. Bác sĩ thường hẹn siêu âm lại sau 1 tuần.
Có túi thai bao lâu thì có tim thai?
Thông thường sau khoảng 1–2 tuần kể từ khi thấy túi thai.
Siêu âm bụng có thấy túi thai sớm không?
Siêu âm bụng thường thấy túi thai muộn hơn siêu âm đầu dò khoảng 1 tuần.
Bao lâu nên siêu âm lại nếu chưa thấy túi thai?
Thời gian phổ biến là 5–7 ngày.
Tóm tắt
Thông thường túi thai xuất hiện từ tuần 4–5 của thai kỳ khi siêu âm đầu dò và rõ hơn từ tuần 5–6 nếu siêu âm bụng. Nếu thử thai 2 vạch nhưng chưa thấy túi thai, mẹ không nên quá lo lắng vì có thể thai còn sớm hoặc rụng trứng muộn.
Điều quan trọng nhất là theo dõi đúng lịch hẹn của bác sĩ và giữ tâm lý thoải mái. Thai kỳ giai đoạn đầu luôn cần thời gian để phát triển từng bước.
Baubixinh luôn mong rằng mỗi mẹ bầu đều có một hành trình mang thai an toàn – nhẹ nhàng – và đầy niềm vui.